Child With Swollen Gums & Bottle Caries

Patient Condition on Arrival
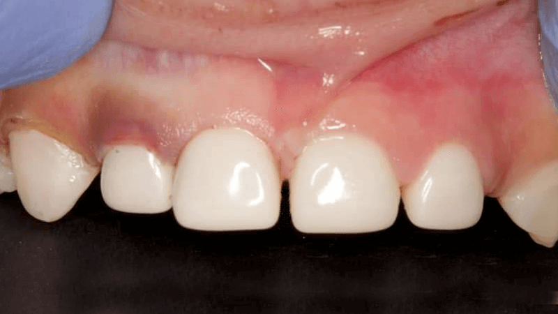
A 4-year-old child arrived with severely swollen gums and multiple bottle caries, accompanied by intense dental anxiety. Previous dental experiences had made the child fearful and uncooperative, refusing to open their mouth during treatment.
The parents were understandably distressed and concerned about their child’s oral health and comfort.
Treated by
Dr. Siva Nagini Yalavarthi
Hyderabad’s First Woman Strategic Implantologist

Risks if Left Untreated
Left untreated, the condition could have led to worsening pain, difficulty eating, disturbed sleep, and early loss of primary teeth.
This could further affect the child's speech development and the healthy eruption of permanent teeth.
Treatment Approach
Dr. Siva Nagini Yalavarthi followed a gentle, child-first approach focused on trust, minimal discomfort, and efficient care.
Step-by-Step Treatment
1 Comfort First
The initial visit was dedicated to helping the child feel safe through calm communication and playful introductions.
2 Gentle, Pain-Free Treatment
Infected areas and gum swelling were managed using child-safe, minimally invasive techniques.
3 Preserving Natural Teeth
Bottle caries were treated with appropriate restorations to protect and save the child’s teeth.
4 Progress within Few Visits
Treatment was completed in minimal visits to reduce anxiety for both child and parents.
5 Prevention Beyond Treatment
Parents were guided on feeding habits, brushing routines, and preventive care.
Treatment Achievement
Complete resolution of gum swelling, successful treatment of all bottle caries, and a positive behavioral shift from dental fear to comfort.
Patient Feedback and Overall Experience
The parents shared heartfelt appreciation for the care provided, noting how quickly their child became comfortable with Dr. Siva Nagini. They were particularly impressed by how the entire treatment was completed smoothly, without trauma, and with full cooperation making the experience reassuring for both the child and the family.